2026年1月27日
患者様のお悩み
年代・性別: 40代 女性(安城市在住)
主訴: 「笑った時に見える左上の銀歯が気になる。白くしたいけれど、健康な歯をこれ以上削るのは怖い」
診断: 複数の銀歯(金属インレー)の下で、痛みなく「二次むし歯」が進行している可能性が高い状態。
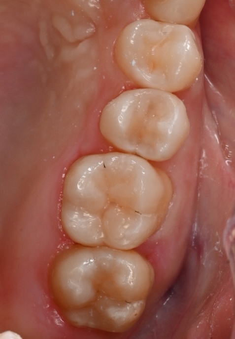
治療プラン:なぜ「セラミック」ではなく「ダイレクトボンディング」なのか?
今回は、以下の理由から**ダイレクトボンディング(自費診療:1本44,000円〜)**をご提案しました。
歯を削る量が最小限: セラミック等の被せ物は歯を大きく削る必要がありますが、ダイレクトボンディングは「虫歯の部分だけ」を削って詰めるため、ご自身の歯を最も多く残せます。
即日完了: 型取りが不要なため、1回の治療(または数回に分けた集中治療)で白い歯が入ります。
「保存治療の専門家」による精密充填: 日本保存歯科学会認定医が、マイクロスコープ(歯科用顕微鏡)を用いて、肉眼では見えないミクロの隙間まで封鎖します。
治療プロセス(ここが一番重要です!)
治療回数: 2回(2本ずつ丁寧に治療)
治療時間: 1回あたり約90分
★解説: 「ただ詰めるだけ」なら15分で終わります。しかし、当院では適合(フィット)を極限まで高め、二次むし歯を防ぐために、1本の歯にこれだけの時間をかけます。
使用機器: マイクロスコープ、ラバーダム防湿(唾液による感染を防ぐため)


Doctor’s Comment: 天然の歯と見分けがつかないレベルまで、色調と形態を再現しました。
費用とリスク
費用: 臼歯部 44,000円(税込)× 4本
リスク: 強い衝撃で欠けることがあります(修復可能)。リスク: 強い衝撃で欠けることがあります(修復可能)。