2026年2月20日
■患者様のお悩み・ご来院時の状態
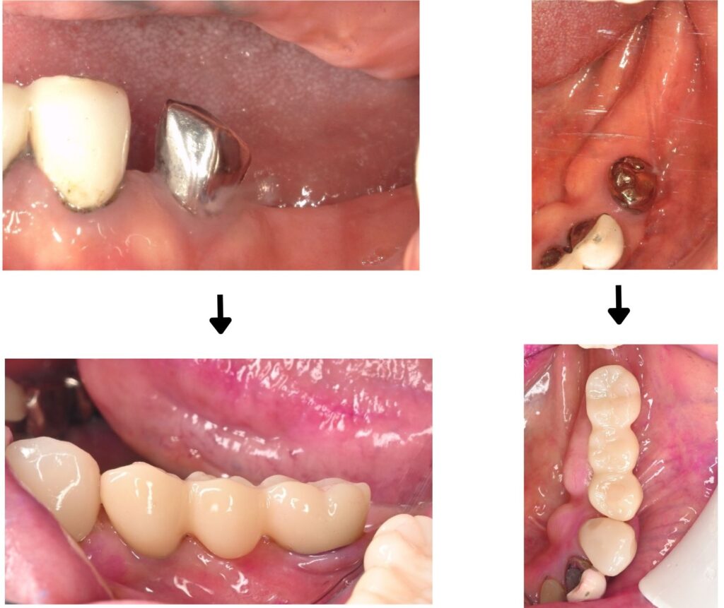
「奥歯がなく入れ歯が噛みにくいのでインプラントを希望しているが、他院で『骨がない(薄い)からインプラントは難しい』と断られてしまった」とお悩みになり、当院へご相談にいらっしゃいました。
精密なCT検査を行ったところ、確かに下顎の奥歯(34番・特に36番部分)の骨の厚みや幅が不足しており、通常のインプラント手術は困難な状態でした。

■当院での診断と治療プラン
患者様の「どうしてもインプラントでしっかり噛めるようになりたい」という強いご希望に応えるため、**GBR(骨誘導再生法)**という、不足している骨を補って新しく作る技術をご提案しました。 手術の負担を最小限にするため、骨を作る処置(GBR)とインプラントを埋め込むオペを同時に行う計画を立て、より安全・確実に手術を行うための「サージカルガイド(専用のマウスピースのような器具)」を事前に作製しました。
■治療のステップ
1.抜歯(34番): 保存不可能だった歯の抜歯を行いました。
2.サージカルガイドの作製: CTデータ、IOSデータをもとに、インプラントを計画通りの位置・角度に安全に正確に埋め込むためのガイドを作製。
3.インプラント1次オペ & GBR(骨造成): ガイドを用いて安全にインプラント(34・36番)を埋め込むと同時に、不足している周囲の骨を作るGBR処置を行いました。
4.2次オペ: 骨とインプラントがしっかり結合するのを待った後、被せ物の土台をつなぐ処置を行いました。
5.精密な型取り(印象): お口にぴったり合う被せ物を作るための型取りを行いました。
6.上部構造(被せ物)のセット: 最終的な人工歯を装着し、しっかりと噛める状態になりました。
■担当医からのメッセージ
「骨が足りない」とインプラントを諦めかけていた患者様でしたが、GBR法とサージカルガイドを用いた綿密な計画により、無事にインプラント治療を完了し、ご自身の歯のようにしっかりとお食事を楽しんでいただけるようになりました。
他院でインプラントを断られてしまった方も、当院の技術と設備であれば治療可能なケースが多くあります。諦める前に、ぜひ一度当院のCTカウンセリングへお越しください。
■治療詳細およびリスク・副作用
・治療内容: 下顎へのインプラント埋入術(2本)およびGBR(骨誘導再生法)、サージカルガイド作製、上部構造の装着。
・治療期間 / 回数: 約8ヶ月 / 6回
・治療費(総額): 950,000円+税(自費診療)
・保証期間: インプラント体(人工歯根の部分)5年、上部構造(被せ物)2年
・リスク・副作用:
・外科手術を伴うため、術後に痛み、腫れ、内出血などが生じる場合があります(通常は2週間程度で治まります)。
・骨の定着状態や患者様の治癒力によっては、治療期間が延長する場合があります。
・治療後は、インプラント周囲炎(歯周病のような症状)を防ぐため、毎日の丁寧なセルフケアと、歯科医院での定期的なメンテナンスが必須となります。
■ 当院のインプラント治療について詳しく知りたい方へ
今回のGBR(骨造成)のような難症例だけでなく、通常のインプラント治療においても「安全性」と「長持ちすること」を第一に考えております。
・事前の精密な3D-CT検査
・サージカルガイドを用いた安全な手術
・治療後の手厚い保証とメンテナンス体制
・インプラント治療の料金表
当院のインプラント治療の特徴や、詳しい料金については、以下の専門ページにて分かりやすく解説しております。ぜひ合わせてご覧ください。
▼ インプラント治療の詳細・料金表はこちら